Treatments
- Rehabilitation For Impaired Vision
- Photodynamic Treatment
- Gas Tamponade
- Glaucoma Treatmens
- Injections Of Medication Into Eye
- Eyelid Surgery
- Obstruction Of The Tear Ducts
- Cataract Treatment
- Laser Trabeculoplasty
- Premature Retinopathy (ROP)
- Pterygium Surgery
- Refractive Laser Surgery
- Retina Diseases and Treatment
- Silicone Oil Tamponade
- Strabismus Surgery
- Vitrectomy Surgery
Premature Retinopathy (ROP)
One of the most important visual problems of premature babies is premature retinopathy (ROP). Early diagnosis and treatment of retinopathy in premature babies is significant. In normal circumstances, the vessel system feeding the retina of babies continues to develop until birth. In early and low-weight births, the baby is born before this developmental process has been completed. Development continues after the baby is born; however, in some cases, normal vascularization in the eye stops with the effect of a number of risk factors and abnormal vessels develop as a result. If these new vessels are not treated, they may cause permanent blindness since they affect the baby’s retina. Therefore, premature babies must be checked and monitored by an ophthalmologist.
Figure 1. Retinopathy of prematurity examination at our clinic.
Many factors play a role in the development of ROP. Among the most significant ones are premature birth week, low birth weight, and long-term oxygen therapy. Recurring respiratory problems, severe microbic infections, rapid blood exchanges or the number of blood transfusions, intra-brain bleedings, developmental inability of lungs, and holes in the heart increase the risk of ROP. Babies with a birth weight lower than 2000 gr and born earlier than 35 weeks are at risk.
Symptoms are not observed in premature babies. Premature retinopathy mostly emerges between 6 and 8 weeks after birth. Therefore, babies in the risk group indicated above must be examined by an experienced and expert ophthalmologist when they are 4-6 weeks old.
In order to be able to see the retina, the baby’s pupils are enlargened with medications diluted at a certain rate. To examine the baby comfortably, an anesthetic eye drop is dripped into the baby’s eyes beforehand. Some special instruments are used to keep the eyelids open during examination. The physican examines the retina with an indirect ophthalmoscope.
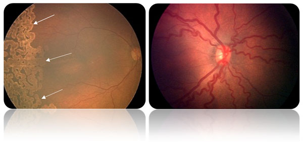
Figure 2. Laser photocoagulation spots on avascular retina of a patient diagnosed with retinopathy of prematurity (ROP) (left). Plus disease is characterized by arterial tortuosity and venous dilation in the posterior pole of infants with ROP (right).
Staging of the Disease: (Stages indicate the severity of the disease. As the severity increases, the stage of the disease increases accordingly.)
Stage 1: External periphery of the retina cannot take normal blood nutrition. At the intersection point of normal and abnormal vessels, there is a demarcation line.
Stage 2: A ridge is formed in the demarcation line dividing the two regions.
Stage 3: The ridge keeps growing and new abnormal vessels develop. The vessels spread on the vitreus. Fibovascular membranes are formed and fluid leakage may occur.
Stage 4: Partial retinal detachment develops due to the formed membranes.
Stage 5: Total retinal detachment develops.
In order to determine the prevalence of the disease, the retina is divided into 3 zones:
Zone 1: The circular zone with the optical disc in the middle and with a circumference twice the distance between the macula and optic disc
Zone 2: Just as Zone 1, the circular zone with the optical disc in the center and covering the entire retina in the direction of the nose
Zone 3: The crescent shaped zone out of Zone 2 and in the opposite direction of the nose
Plus Disease:
Apart from the above-mentioned zones and staging, abnormal expansions occur in the retinal vessels in some cases. This is one of the important treatment criteria showing the severity of the disease.
Intraocular localization, severity and prevalence of ROP are significant for the treatment decision. Only observation is adequate for Stage 1 and Stage 2. These babies must be followed-up until the development of the retina is completed.
There are various methods for treating ROP in Stage 3. The most frequently applied one is laser treatment. Through laser photocoagulation, abnormal vessels are removed without causing retinal detachment.
Vitrectomy is applied to patients at Stage 4 and Stage 5. This method is difficult to apply and limited in success. The chance of being successful is quite low particularly in Stage 5 cases. Premature retinopathy is a serious health problem which may cause blindness if not diagnosed and treated in time.